当院でも特に治療例の多い
- 膝蓋骨脱臼
- 前十字靭帯断裂
2つの疾患について、原因や治療法を詳しく解説していきます。
膝蓋骨脱臼
病態
膝蓋骨脱臼とは名前のとおり、膝蓋骨(膝のお皿)が大腿骨滑車溝とよばれる太ももの骨の溝から内側または外側に外れてしまう疾患のことをいいます。
膝蓋骨は大腿四頭筋(太ももにある大きな筋肉)の引っ張る力が脛骨(すねの骨)に伝わるための滑車の役割を果たしていて、膝関節の伸展に大きく関わってくるため、膝蓋骨脱臼が起こると膝を曲げたままになったり、後ろ足を上げたりといった症状が認められます。
このように膝蓋骨が内側にずれることを膝蓋骨内包脱臼、外側にずれることを膝蓋骨外方脱臼と呼びます。
原因
膝蓋骨内包脱臼は小型犬で多くみられますが、はっきりとした原因はまだわかっていません。
遺伝的な素因が関与しているのではといわれていますが、明確な原因遺伝子は判明していません。
また小型犬では発育期に骨の成長異常が生じ(骨・筋肉・靱帯のアンバランス)、それによって大腿四頭筋の変形が起きることで脱臼を起こすといわれています。
症状
たまに後ろ足をあげるだけの子もいれば、ずっとあげている子、また歩き方が異常(膝を曲げたまま歩くなど)な子もいれば、歩き方に全く異常がない子、足を横に投げ出した座り方の子、ストレッチのように足を伸ばす子など、その子により出る症状も頻度も様々です。
また症状を示す足が片方だけであっても、膝蓋骨脱臼を両方の足で起こしている子もいるため、必ず両足の状態の確認が必要となります。
診断
まずは触診によって4つのグレードに分けていきます。
- グレード1:膝蓋骨を手で押すと脱臼するが、離すと元の正しい位置に戻る
- グレード2:頻繁に脱臼を起こすが、膝を曲げ伸ばしすることで自然に正しい位置に戻る
- グレード3:膝蓋骨は常に脱臼したままであり、手で押すと正しい位置に戻る
- グレード4:膝蓋骨は常に脱臼しており、手で押しても正しい位置には戻らない
必ず左右両方の足で脱臼の確認をし、同時に左右で太ももの筋肉量の差がないか、足の骨の形に異常がないかなども確認していきます。
膝が内反(O 脚、がに股)していると内包脱臼を起こしやすく、外反(X脚)をしていると外方脱臼を起こしやすいといわれています。
また実際に院内やお外を歩いてもらい歩様に異常がないかどうかをみることもあります。
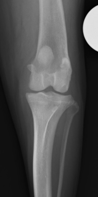
次にレントゲンの検査を行い、膝蓋骨の位置や大腿骨と脛骨に変形がどの程度あるのか、関節炎の有無などを評価していきます。
治療
膝蓋骨脱臼の根本的な治療は、外科手術によるものです。特に若齢で脱臼が見られている場合は早期に手術をすることでその後の骨の変形や筋肉量の低下を防ぐことができます。
外科
外科手術では症例に合わせていくつかの術式を組み合わせて行っています。
滑車溝形成術
膝蓋骨が本来はまっている場所である滑車溝(大腿骨の溝)が浅いことによって脱臼を起こすことが知られています。そのため滑車溝をより深くすることで膝蓋骨が溝から滑り出ないようにするための術式です。
脛骨粗面転移術
膝蓋骨から脛骨粗面(すねの骨の一部)には膝蓋靭帯という靭帯が付着しており、骨の異常などにより脛骨粗面が正常よりも内側に存在すると靭帯に引っ張られて膝蓋骨が内側へと脱臼しやすくなってしまいます(外方脱臼の場合は外側に引っ張れることで起こる)。
そこで脛骨粗面を切って移動させインプラントで固定することで、膝蓋骨、膝蓋靭帯、および脛骨粗面が真っ直ぐ並ぶようにします。
関節包の縫縮
膝蓋骨内包脱臼を起こしている子の関節包(関節を包んでいる膜)はゆるんでおり、十分な張力を失っていることが多いです。そのため関節包を縫い縮めることで、張力が正常に保たれるようにします。
周囲組織のリリース
周囲の組織(筋肉など)が緊張して膝蓋骨を内側にさらに引っ張っていることが多いため、緊張している筋肉や組織を切って緩めることで、膝蓋骨に異常な方向への力がかからないようにします。
内科
他の病気により麻酔がかけられないなどで手術の選択ができない場合や、症状が全くなく機能的に異常が認められない場合は内科療法を選択することもあります。
ただ内科療法 では完治は見込めず、あくまでも生活に支障が出ないように温存していくような治療となります。
基本的には二次的に関節炎が悪化することを防ぐためにサプリメントを飲んだり、一時的に痛みが出るようなら痛み止めを飲んだりしていただきます。
また日常生活ではご自宅の床で滑らないように床材を変更する、筋肉量が落ちないようにする、体重が増えないよう食事管理に気を付ける、症状の悪化がないか観察する、などのことをしてもらいます。
リハビリテーション
膝蓋骨脱臼はリハビリで完全に治療することはできませんが、手術後のフォローアップとして重要な役割を担っています。
具体的には、手術後の足の筋肉量を落とさないようにするトレーニングやマッサージをしたり、全ての足を使って正しく歩けるような補助をしていきます。
手術前

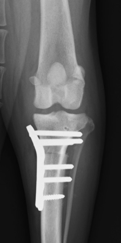
手術後

手術前

手術後

前十字靭帯断裂
病態
犬の前十字靭帯とは膝関節の中に存在する靭帯のことであり、大腿骨(太ももの骨)後方の外側と脛骨(すねの骨)前方の内側を繋いでいます。
主な役割として1脛骨の前方変位の抑制2膝関節の過伸展の抑制3脛骨の過剰な内旋(内側に捻じれること)の抑制が挙げられます。
そのため前十字靭帯の断裂が起こると脛骨を正しい位置に保てなくなり、膝の関節が不安定となります。
そのことにより二次的に大腿骨と脛骨の間に存在する半月板という軟骨組織(クッション材のようなもの)の損傷を引き起こし、痛みや歩き方の異常をもたらします。
原因
健康な犬でスポーツなどによる急性の外傷で前十字靭帯が切れることは稀で、多くは加齢やそれに伴い靭帯の構造が徐々に変化し弱くなってしまうことで引き起こされます。
そのためお散歩や階段を上るといった、日常の軽い運動をしただけで切れてしまうこともあります。
また片方の足で前十字靭帯の断裂が診断された犬では、反対側の足でも同様に断裂が起こることが多いと言われています。
その他にも遺伝的(ニューファンドランドの遺伝子)、解剖学的(ウエストハイランドホワイトテリアなど)、免疫学的な要因も関与しているといわれています。
症状
足を痛がる、足を上げたまま3本足でけんけんと歩く、といった症状が認められることが多いです。
これらの症状は靭帯が切れてから時間が経つと正常に戻ることもありますが、その間も靭帯や関節軟骨はダメージを受け続けており、その後症状の悪化を引き起こします。
診断
まず触診により、膝関節の腫れや熱感がない確認します。
さらに慢性的な痛みにより足を使わなくなると太ももの筋力が低下(廃用性萎縮)するため、左右の足で筋量の差がないか確認します。
さらに脛骨の前方引き出しテスト(ドロワーテスト)と脛骨圧迫テストを行います。これにより脛骨の前方変位が起きていないか確認します。
次にレントゲン検査にて骨の形や位置、および前十字靭帯を損傷した時に認められるファットパットサイン(関節液が貯留して関節包が拡張し、脂肪体が圧迫され変位した像)を確認します。
治療
部分断裂および完全断裂どちらの場合も基本的には外科手術が適応となります。部分断裂の場合でも時間が経つと重度の関節炎に移行したり、結果として完全断裂となる可能性があります。
外科
前十字靭帯断裂に対する外科手術の方法はかなりたくさんあり、関節包の中で自分の筋肉についている膜(筋膜)を用いて膝関節を安定させる「Over the top法」や、関節包の外側で固定糸を用いて行う「Flo関節包外制動術」などがあります。
ただ近年では脛骨を骨切りして膝関節の角度を改変させることで安定化させる「TPLO(脛骨高平部水平化骨切り術)」という手術法を行ったほうが他の手術法に比較して経過がよいという報告が多いため、当院ではTPLO法を主に行っております。
術後は数日の入院をし、退院後は軽度な歩行運動から始めてもらい、リハビリテーションによって回復のバックアップを行います。
手術前

手術後

手術前

手術後

内科
他の病気により麻酔がかけられない、または前十字靭帯の断裂があっても症状が軽い小型犬などでは、外科手術はせずに内科治療を選択することも可能です。
ただ内科治療に関してはあくまでも温存療法のため、その後関節炎を引き起こしたり、部分断裂であったものが完全断裂に移行してしまう可能性もあります。
そのため前十字靭帯断裂の第一選択は外科手術となります。
内科療法では主に運動制限、消炎鎮痛剤の使用、サプリメントの使用、体重管理、場合によっては装具の装着やリハビリテーションを行います。
リハビリテーション
リハビリでは、靭帯が断裂してしまった側の足の筋肉量を増やすための運動を行ったり、関節の炎症により可動域が落ちないよう可動域訓練やマッサージを行っています。
>また当院では水中トレッドミルを用いて、より関節にかかる負荷を少なくして自力での歩行を促すリハビリも行っております。
